
دلایل سیاه شدن رنگ دندانها، از نظر دندانپزشکان و متخصصان مورد بررسی قرار گرفته است. همانطور که میدانید دندانها در حالت عادی و بدون مشکل، سفید، زرد یا خاکستری مایل به سفید هستند. مینای دندان تا حد زیادی از عنصر کلسیم ساخته شده پس این طیفهای رنگی که نام بردیم به دلیل وجود کلسیم است. حالا میخواهیم بدانیم دلایل سیاه شدن رنگ دندانها چیست؟ چه زمانی لازم است به دندانپزشک مراجعه کنیم؟ برای پاسخ به این پرسشها به اطلاعات دقیقی نیاز داریم تا در صورت وجود مشکل در اسرع وقت به دندانها رسیدگی کرده و همچنین در همه هزینهها صرفه جویی کنیم. برای بررسی دلایل سیاه شدن رنگ دندانها، لطفاً ادامه مطلب را بخوانید …
دلایل سیاه شدن رنگ دندان ها؛ از لکه سطحی تا علائم جدی
دندانها در حالت طبیعی طیفی از سفید تا زردِ مایل به خاکستری دارند. این رنگ زمینه از ساختار مینای غنی از کلسیم میآید. تغییر رنگ به سمت قهوهای یا سیاه میتواند ناشی از عوامل خارجی (روی سطح دندان) یا داخلی (در لایههای زیر مینا و عاج یا داخل پالپ) باشد. تشخیص قطعی با دندانپزشک است، اما این راهنما کمک میکند بدانید چه زمانی موضوع اضطراری است و چه زمانی با یک پاکسازی حرفهای حل میشود.
عوامل خارجی (Extrinsic): چرا سطح دندان تیره میشود؟
نوشیدنیها و خوراکیهای رنگزا: قهوه، چای پررنگ، نوشابه، نوشیدنیهای انرژیزا، سس سویا، برخی ادویهها. رنگدانۀ این مواد به پلاک میچسبد و روی مینا مینشیند.
بهداشت ناکافی: پلاکِ طولانیمدت معدنی میشود و به جرم (تارتار) تبدیل میگردد؛ جرم میتواند رنگی از زرد تیره تا سیاه بگیرد.
دخانیات: نیکوتین و قطران لکههای قهوهای-سیاه میگذارند.
دهانشویه های حاوی کلرهگزیدین، قلع (Stannous) و حتی برخی خمیردندان های درمانی می توانند به مرور لکه های تیره ایجاد کنند.
مکمل های آهن (قطره یا شربت آهن در کودکان و بزرگسالان) می توانند لکه های تیره بدهند، بهویژه اگر بلافاصله مسواک یا آبکشی انجام نشود.
«لکه سیاه خطی» در برخی کودکان (black line stain) بهدلیل باکتری های کروموژنیک ایجاد می شود و معمولاً با جرم گیری/پولیش حرفه ای برطرف می گردد.
نکته پیشگیرانه: پس از مصرف مواد اسیدی یا رنگزا، دهان را با آب بشویید و ۳۰ دقیقه برای مسواک صبر کنید تا مینا نرم شده مجدد سخت شود و ساییدگی رخ ندهد.
عوامل داخلی (Intrinsic): وقتی مشکل از داخل دندان است
پوسیدگی بین دندانیِ پنهان (بهویژه بدون نخ دندان): ابتدا لکه های تیره ریز، سپس حفره های عمیق و در نهایت تغییر رنگ ساختاری.
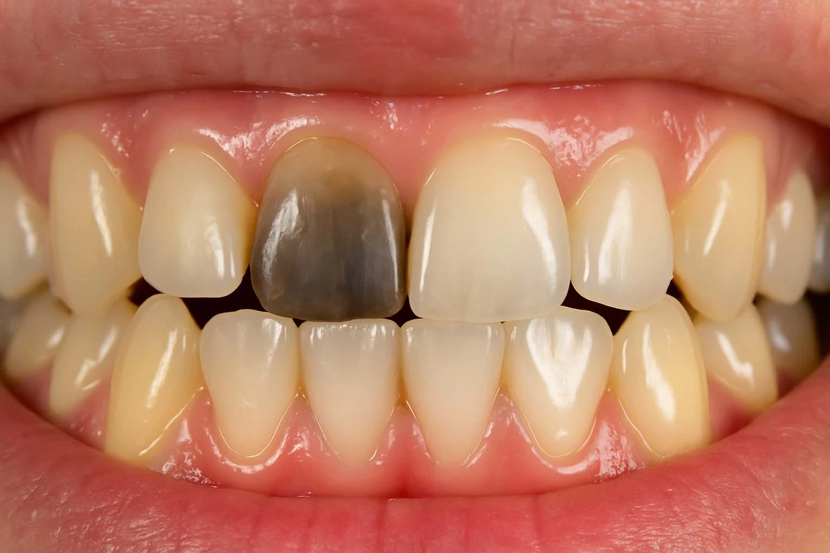
نکروز پالپ (مرگ عصب): در اثر پوسیدگی شدید یا ضربه. دندان مرده بهتدریج خاکستری-قهوهای تا سیاه می شود و معمولاً به درمان ریشه نیاز دارد.
لکه های داخلی ناشی از درمان ها یا مواد دندانی مثل سیلور دیآمین فلوراید (SDF) که برای توقف پوسیدگی کودکان بهکار می رود ولی می تواند ناحیه پوسیده را تیره کند (خطرناک نیست، اما از نظر زیبایی باید آگاه بود).
روکش ها چرا سیاه به نظر می آیند؟
- ماندن رنگدانه ها روی سطح روکش (بهویژه کامپوزیت های قدیمی یا سرامیک با پولیش ضعیف).
- تحلیل لثه و نمایان شدن لبه های فلزی یا پست فلزی زیر روکش.
- پوسیدگی ثانویه زیر روکش؛ دندان زیر روکش ممکن است از کناره ها پوسیده شود و سایۀ خاکستری بدهد؛ نیازمند تعویض روکش پس از درمان دندان است.

آیا جرم گیری ضرر دارد؟
جرمگیری (Scaling) و پولیش حرفهای در صورت انجام توسط دندانپزشک/بهداشتکار ماهر، ایمن و درمان استاندارد است.
- باور نادرست: «اگر سیگار میکشم یا کم مسواک میزنم، جرم گیری نکنم.»
واقعیت: اتفاقاً در همین شرایط جرم گیری ضروریتر است؛ جرم و التهاب لثه را کم میکند و ریسک بیماری های پریودنتال را کاهش میدهد. - حساسیت گذرا پس از جرمگیری طبیعی است و معمولاً ظرف چند روز فروکش میکند. رعایت توصیههای بعد از درمان مهم است.
از بین بردن لکههای سیاه دندان
از بین بردن لکههای سیاه دندان باید توسط دندانپزشک انجام شود. اگر تغییر رنگ دندانها بسیار نامحسوس است، مسواک زدن به صورت مرتب، خودداری از مصرف نوشابهها و ترک سیگار باعث میشوند دوباره دندانها زیبا به نظر برسند اما اگر رنگ دندانها تیره شده است باید برای از بین بردن لکههای سیاه دندان از یک متخصص کمک بگیرد.
مسواک زدن منظم و صحیح
یکی از مهمترین و پایهایترین روشها برای جلوگیری از سیاه شدن دندانهای آسیاب، مسواک زدن منظم و صحیح است. دندانهای آسیاب به دلیل موقعیتشان در انتهای دهان، بیشتر در معرض تجمع پلاک و باقیمانده غذا قرار دارند. برای تمیز کردن کامل این نواحی، باید از مسواکهایی با سری کوچک و مناسب استفاده کرد. همچنین تکنیک صحیح مسواک زدن، از جمله مسواک زدن با حرکتهای دایرهای کوچک و ملایم، اهمیت زیادی دارد. استفاده از خمیردندانهای حاوی فلوراید نیز به تقویت مینای دندان و کاهش احتمال پوسیدگی کمک میکند.
استفاده از نخ دندان
نخ دندان یکی دیگر از ابزارهای ضروری برای جلوگیری از سیاه شدن دندانهای آسیاب است. این دندانها به دلیل دسترسی کمتر به مسواک، بیشتر در معرض تجمع پلاک بین دندانها هستند. استفاده روزانه از نخ دندان باعث میشود تا پلاکها و باقیماندههای غذایی از بین دندانها و در نزدیکی لثهها پاک شوند. اگر پلاکها به مدت طولانی روی دندان بمانند، میتوانند به تارتار تبدیل شوند که منجر به سیاه شدن دندانها میشود.
دهانشویههای طبیعی و خانگی
دهانشویهها نه تنها برای خوشبو کردن دهان، بلکه برای جلوگیری از تجمع باکتریها و پلاکها نیز مؤثرند. برخی دهانشویههای طبیعی که میتوان در خانه تهیه کرد، شامل ترکیباتی مانند آب نمک یا چای سبز هستند. آب نمک به عنوان یک ضدعفونیکننده طبیعی عمل میکند و باکتریهای مضر را از دهان پاک میکند. چای سبز نیز به دلیل داشتن ترکیبات ضدباکتریایی و ضدالتهابی، میتواند به سلامت لثهها و دندانها کمک کند و از سیاه شدن دندانهای آسیاب جلوگیری کند.
روغنکشی
روغنکشی یکی از روشهای سنتی و مؤثر برای حفظ سلامت دهان و دندان است که از قرنها پیش در طب سنتی استفاده میشود. این روش شامل شستشوی دهان با روغنهای گیاهی مانند روغن نارگیل یا روغن کنجد به مدت 10 تا 15 دقیقه است. روغنکشی باعث حذف باکتریهای مضر و سموم از دهان میشود و از تجمع پلاکها جلوگیری میکند. به این ترتیب، احتمال سیاه شدن دندانهای آسیاب به شدت کاهش مییابد. همچنین روغن نارگیل خواص ضدالتهابی و ضدباکتریایی دارد که میتواند به سلامت لثهها نیز کمک کند.
مصرف مواد غذایی سالم و اجتناب از غذاهای مضر
رژیم غذایی مناسب نقش مهمی در جلوگیری از سیاه شدن دندانها دارد. مصرف غذاهای سالم که سرشار از کلسیم و ویتامین D هستند، به تقویت مینای دندان کمک میکند. لبنیات، سبزیجات برگ سبز، ماهی و مغزها از جمله منابع غنی از این مواد مغذی هستند. از سوی دیگر، باید از مصرف بیش از حد غذاها و نوشیدنیهای شیرین، اسیدی و رنگدار مانند نوشابه، قهوه و چای خودداری کرد. این مواد میتوانند به مینای دندان آسیب بزنند و باعث تغییر رنگ دندانها شوند. همچنین مصرف آب فراوان بعد از غذاها به شستشوی دهان و کاهش احتمال تجمع مواد مضر روی دندانها کمک میکند.
استفاده از زغال فعال
زغال فعال یکی از روشهای خانگی محبوب برای سفید کردن دندانها و جلوگیری از سیاه شدن آنها است. زغال فعال به دلیل خاصیت جذب بالای خود، میتواند لکههای سطحی و پلاکها را از روی دندانها پاک کند. برای استفاده از زغال فعال، مقدار کمی از آن را روی مسواک بریزید و دندانهای آسیاب را به آرامی مسواک بزنید. با این حال، باید دقت کنید که این روش به طور مکرر استفاده نشود، زیرا ممکن است به مینای دندان آسیب برساند.
مصرف میوهها و سبزیجات سفت
برخی میوهها و سبزیجات سفت مانند سیب، هویج و کرفس به عنوان یک پاککننده طبیعی برای دندانها عمل میکنند. خوردن این مواد غذایی به تمیز کردن دندانها از پلاک و باقیمانده غذاها کمک میکند و احتمال سیاه شدن دندانهای آسیاب را کاهش میدهد. این خوراکیها همچنین به تحریک تولید بزاق کمک میکنند که خود یک محافظ طبیعی برای دندانها است و از تجمع پلاک جلوگیری میکند.
جلوگیری از مصرف دخانیات
مصرف دخانیات به ویژه سیگار یکی از عوامل اصلی تغییر رنگ و سیاه شدن دندانهاست. نیکوتین و سایر مواد شیمیایی موجود در دخانیات به تدریج روی دندانها انباشته میشوند و باعث تشکیل لکههای قهوهای و سیاه میشوند. برای جلوگیری از سیاه شدن دندانهای آسیاب، ترک دخانیات یک اقدام حیاتی است.
دندانپزشک با معاینه دندانها متوجه میشود دلایل سیاه شدن رنگ دندانها چیست و با برطرف کردن عامل مخرب و ترمیم دندان، مشکل شما را حل میکند. پس فراموش نکنید که در صورت تغییر رنگ محسوس به دندانپزشک مراجعه کنید و حتی اگر به نظر خودتان دندانهای سالمی دارید، بهتر است هر ۶ ماه یکبار چکاپی انجام دهید.
درمان های علمی برای از بین بردن لکه های سیاه
پاکسازی حرفهای: جرمگیری و پولیش برای لکه های خارجی.
Air-polishing (پودر مخصوص): روشی ملایم و مؤثر برای زدودن لکه های سفت و سمج با حداقل ساییدگی مینا.
سفید کردن دندان (بلیچینگ) با پراکسید تحت نظر پزشک: برای رنگ گرفتگی های نفوذیِ خفیف تا متوسط.
بلیچینگ داخلی (Internal bleaching): برای دندان های عصب کشی شده که تیره شده اند؛ از داخل تاج انجام می شود.
میکروابریژن مینا: برداشتن بسیار سطحی مینا برای لکه های موضعی (مثل فلوئوروزیس خفیف) همراه با بلیچ.
ترمیم های زیبایی: کامپوزیت های لایه ای، اینله/آنله، ونیر یا روکش تمام سرامیک برای تغییر رنگ های شدید یا عیوب ترکیبی.
هشدارهای علمی مهم:
زغال فعال و خمیرهای ساینده می توانند به مینا آسیب بزنند؛ استفاده مکررشان توصیه نمی شود.
لیمو + جوش شیرین اسیدی/ساینده است؛ مینا را نرم و خراش می دهد. این ترکیب خانگی را توصیه نمی کنیم. بهجای آن از خمیردندان های حاوی فلوراید با شاخص سایندگی کنترل شده (RDA مناسب) و برنامه سفیدکننده زیر نظر دندانپزشک استفاده کنید.
روغنکشی شواهد قوی برای برتری نسبت به مسواک/نخ ندارد؛ اگر انجام می دهید، آن را جایگزین بهداشت استاندارد نکنید.

چه زمانی مراجعه فوری لازم است؟
- تغییر رنگ همراه با درد، حساسیت به سرما/گرما، آبسه یا بوی بد مداوم.
- تیره شدن ناگهانی یک دندان پس از ضربه (بهویژه در ورزشکاران یا کودکان).
- لبه های روکش یا پرکردگی که تیره شده و گیر غذایی/لب پریدگی دارد.
- جدید: در کودکان، لکه های تیره گسترده یا قطره آهنِ لک دهنده—برای مدیریت درست و پیشگیری از پوسیدگی مراجعه کنید.
پیشگیری روزمره که واقعاً اثر دارد
- دو بار در روز مسواک با فلوراید، یک بار نخ دندان یا برس بین دندانی.
- اگر نوشیدنی های رنگزا مصرف می کنید، از نی استفاده کنید و بلافاصله با آب بشویید.
- بعد از نوشیدنی های اسیدی ۳۰ دقیقه صبر و سپس مسواک بزنید.
- جرمگیری و پولیش حرفهای بر اساس ریسک فردی (معمولاً هر ۶ ماه).
- در افراد با لثه حساس یا ریسک بالای سایش، مسواک برقی با سنسور فشار و خمیردندان کم-RDA انتخاب بهتری است.
سیاه شدن دندان؛ نشانه خطر یا مشکل موقتی
همان گونه که اشاره شد، سیاه شدن دندان یکی از تغییرات نگرانکنندهای است که بسیاری از افراد با آن مواجه میشوند. این تغییر رنگ ممکن است سوالاتی در ذهن ایجاد کند: آیا این وضعیت نشانهای از یک مشکل جدی است یا صرفاً یک تغییر موقتی و بیضرر؟ برای پاسخ به این پرسش، باید عوامل مختلفی که منجر به سیاه شدن دندانها میشوند را بررسی کنیم.
پوسیدگیهای عمیق و تهدید جدی برای دندانها
پوسیدگیهای عمیق دندان یکی از دلایل اصلی سیاه شدن دندانهاست. زمانی که پوسیدگی به لایههای عمیقتر دندان میرسد، ممکن است به رنگ سیاه تغییر کند. این نوع سیاهی معمولاً نشانهای از آسیب جدی به ساختار دندان است و به درمان فوری نیاز دارد. اگر این پوسیدگیها به موقع درمان نشوند، ممکن است منجر به از دست دادن دندان یا نیاز به درمانهای پیچیدهتر مانند عصبکشی شود.
لکههای سطحی، مشکلی موقتی
در برخی موارد، سیاه شدن دندانها میتواند نتیجه لکههای سطحی باشد که به دلیل مصرف مواد غذایی رنگی، نوشیدنیهای حاوی رنگ مصنوعی یا حتی برخی داروها ایجاد میشود. این نوع سیاهی معمولاً موقتی است و با رعایت بهداشت دهان و دندان و تمیز کردن منظم دندانها قابل برطرف شدن است. مصرف قهوه، چای، نوشابه و سیگار نیز از عواملی است که میتواند به این نوع سیاهی منجر شود.
آسیبهای تروماتیک به دندان
آسیبهای فیزیکی به دندان، مانند ضربههای شدید، میتوانند باعث مرگ پالپ دندان شوند. این وضعیت که به عنوان نکروز پالپ شناخته میشود، میتواند باعث تغییر رنگ دندان به سیاه شود. در این موارد، سیاه شدن دندان نشانهای از مرگ بافتهای داخلی دندان است و نیاز به درمان فوری دارد. درمانهایی مانند عصبکشی یا حتی کشیدن دندان ممکن است ضروری باشد.
تشخیص تفاوت بین مشکلات موقتی و دائمی
برای تعیین اینکه سیاه شدن دندان نشانهای از یک مشکل موقتی است یا دائمی، باید به موقعیت و شدت سیاهی توجه کرد. اگر سیاه شدن دندان همراه با درد، حساسیت یا نشانههای دیگر باشد، احتمالاً به یک مشکل جدی و دائمی اشاره دارد. در مقابل، اگر سیاهی به صورت لکههای سطحی باشد و بدون علائم دیگری مانند درد یا التهاب لثه همراه باشد، ممکن است تنها نیاز به تمیز کردن حرفهای یا تغییر در عادتهای غذایی داشته باشید.
مشورت با دندانپزشک برای تشخیص دقیق
برای اطمینان از نوع و علت سیاه شدن دندانها، مراجعه به دندانپزشک ضروری است. دندانپزشک میتواند با بررسی دقیق دندانها و انجام تستهای مورد نیاز، تشخیص دهد که آیا سیاه شدن دندانها به دلیل یک مشکل خطرناک و دائمی است یا صرفاً موقتی و بیضرر و سپس درمان مناسب براساس نوع مشکل تعیین میشود.
از بین بردن لکههای سیاه روی دندان در خانه
همان طور که میدانید، داشتن دندانهای سفید و لبخند درخشان توسط بهترین دندان پزشکی زیبایی تهران، یکی از آرزوهای بسیاری از افراد است. با این حال، عواملی مختلفی میتوانند باعث ایجاد لکههای سیاه یا زرد روی دندانها شوند. در این بخش، به شما روشهایی ساده و موثر برای پاک کردن لکههای سیاه از دندانها با استفاده از دو ماده طبیعی و مقرون به صرفه، یعنی لیمو و جوش شیرین را آموزش میدهیم تا بتوانید لبخندی زیبا و طبیعی داشته باشید.
مزیتهای استفاده از لیمو و جوش شیرین برای سفید کردن دندان
- کاملاً طبیعی و بیخطر: این روش سفید کردن دندان از مواد طبیعی استفاده میکند و به هیچگونه ماده شیمیایی مضر مانند پراکسید هیدروژن نیاز ندارد.
- مقرون به صرفه: لیمو و جوش شیرین از موادی ارزانقیمت هستند که معمولاً در هر آشپزخانهای موجود میباشند.
- مؤثر برای لکههای سطحی: این روش برای از بین بردن لکههای سطحی دندانها بسیار مؤثر است و به تدریج رنگ دندانها را روشن میکند.
نحوه استفاده از لیمو و جوش شیرین برای سفید کردن دندانها
- ترکیب آب لیمو و جوش شیرین: یک قاشق چایخوری جوش شیرین را با چند قطره آب لیمو تازه مخلوط کنید تا یک خمیر غلیظ به دست آید. این خمیر را روی دندانها بمالید و با مسواک به آرامی دندانهای خود را مسواک بزنید. اجازه دهید خمیر به مدت 2-3 دقیقه روی دندانها بماند. سپس دهان خود را با آب بشویید. این روش را هفتهای یکبار تکرار کنید تا لکههای سیاه دندانها از بین بروند.
- مسواک زدن با محلول آب لیمو و جوش شیرین: یک قاشق چایخوری جوش شیرین را در یک لیوان آب لیمو تازه حل کنید. محلول را در دهان خود بچرخانید و سپس به آرامی دندانهای خود را با مسواک تمیز کنید. دهان خود را با آب بشویید. این روش را نیز هفتهای یکبار تکرار کنید.
دندانپزشکی دکتر بالوی پور آماده خدمت رسانی به شما عزیزان برای برطرف کردن این چالش با بهترین قیمت است.
چه عواملی باعث سیاه شدن دندانها میشود؟
مصرف مواد رنگزا، دخانیات و بهداشت ناکافی از بیرون؛ پوسیدگی عمیق و مرگ پالپ از داخل. جدید: کلرهگزیدین، مکمل آهن، آمالگام قدیمی و SDF هم می توانند نقش داشته باشند.
آیا همیشه نشانه بیماری جدی است؟
نه. لکه های سطحی موقتی اند؛ ولی تیره گی های موضعی با درد/حساسیت علامت هشدار است و نیاز به ویزیت دارد.
جرم گیری به دندان آسیب می زند؟
خیر، اگر حرفهای انجام شود درمان استاندارد است. حساسیت گذرا طبیعی است و با ژل فلوراید/پاست های ضدحساسیت کنترل می شود.
درمانها چیست؟
از جرمگیری و پولیش تا بلیچینگ، بلیچینگ داخلی، میکروابریژن و ونیر/روکش بسته به علت. دندانپزشک بر اساس معاینه و عکس تصمیم می گیرد.
روش های خانگی مثل لیمو و جوش شیرین چطور؟
توصیه نمی شود؛ اسیدی و سایندهاند. راهکارهای ایمن را با نظر پزشک پیش ببرید.
جمع بندی
تیره شدن دندانها همیشه به معنای مشکل جدی نیست، اما بیتوجهی به منشأ آن میتواند هزینه ساز شود. با اصلاح عادات روزمره، جرمگیری منظم و درمان های محافظه کارانه، اکثر لکه ها کنترل می شوند. در مقابل، پوسیدگی عمیق یا نکروز پالپ نیازمند درمان تخصصی است. هر تغییر رنگ همراه با درد/حساسیت را فوری جدی بگیرید و برای تشخیص دقیق به دندانپزشک مراجعه کنید.
دندان پزشکی یوسف بالوی پور